
神經外科是一個發展迅速、不斷創新的學科。
為了更好地促進神經外科交流合作,推動新治療方法和技術的研發應用,邁普醫學特別籌辦“神醫妙術——修復關顱解決方案病例征集項目”,以“腦脊液漏規范化管理”和“PEEK顱骨修復規范化管理”為主題征集相關手術病例,為臨床研究和醫學教育提供寶貴資料,助力學科發展。
病例簡介
患者病史
M,58歲。
■ 主訴:頭暈伴左側額頂部頭皮跳痛5年余
■ 簡要病史:
① 5年前無明顯誘因出現頭暈伴頭皮跳痛,范圍主要集中在左側額頂部,無規律,程度時輕 時重,自覺“手掌按壓”后頭暈及頭皮跳痛可緩解。
② 2023年8月患者因常規體檢前往福州市人民醫院完善顱腦CT及MR ,提示“側額腦膜瘤伴顱骨增厚”,未見影像資料及報告,無特殊處理。
③ 現進一步完善顱腦MR檢查,提示“左側額區腦膜瘤伴臨近顱骨增厚”。
■ 既往史:體健
■ 查體:神經系統查體(-)
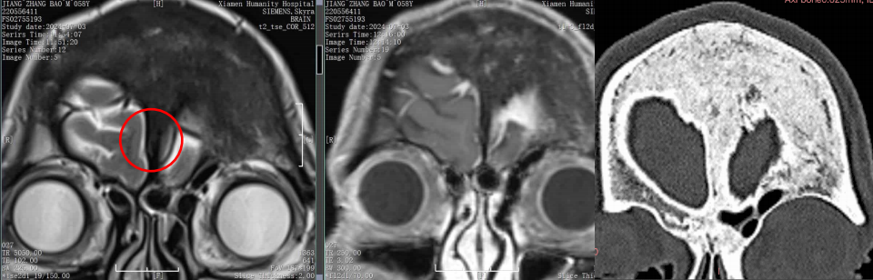
專科查體

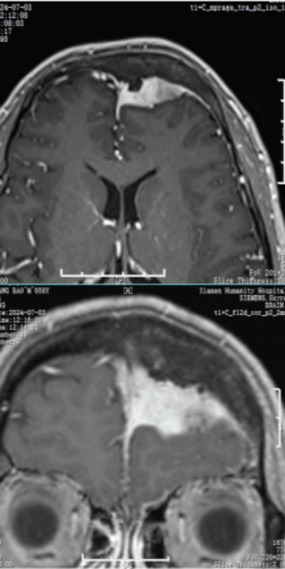
MRI

CT

影像重建
腫瘤與靜脈、矢狀竇的關系

靜脈影像重建
CT重建
左額內外板可見骨質增生
診療方案
■ 初步診斷:左額部凸面-矢狀竇旁腦膜瘤
■ 手術指征:腫瘤累及血管、侵襲骨質;患者及家屬積極要求手術
■ 手術方案:術中導航輔助下前額凸面-矢狀竇旁腦膜瘤切除術+PEEK材料顱骨修補術


手術步驟
術前準備
① 術前口服“左乙拉西坦”預防癲癇
② 備血、抗生素
③ 導航
④ 術中備CUSA
⑤ PEEK修補材料消毒
體位、切口、骨瓣
■ 仰臥位,背板抬高20度,頭正中,頭架固定
■ “導板”確定腫瘤體表投影,導航驗證,圍繞骨質增生后緣設計冠瓣切口(切口偏后相對美觀及切緣離開植入物表面);

■ 筋膜間入路,保留骨膜備用,顳線處顳肌向外剝離,顯露骨緣;
■ 使用“導板”確定骨窗范圍,用記號筆標記。中線及兩側鉆孔4枚,沿標記內側2mm銑下骨瓣,暴露矢狀竇,注意矢狀竇旁蛛網膜顆粒出血,明膠海綿壓迫,必要時時抬高背板;

■ 額竇開放,去除黏膜,碘伏水沖洗,暫以骨蠟封閉
硬膜處理
■ 切硬膜前40分鐘靜滴甘露醇,硬膜四周嚴密懸吊
■ 圍繞腫瘤及強化硬膜四周切開硬膜,翻向矢狀竇側,進一步切斷腫瘤硬膜血供
■ 切開中線側硬膜時,注意避開硬膜竇,如不慎切開,予以縫合止血

腫瘤的切除
■ 先行瘤內部分減壓,然后沿中線探查腫瘤與矢狀竇關系,進一步切斷腫瘤血供
■ 瘤體縮小后,沿腫瘤與腦組織/血管蛛網膜界面分離,逐漸分塊切除腫瘤
■ 過程中保護周圍正常腦組織及正常皮層引流靜脈


硬膜處理
■ 瘤腔徹底止血、明膠海綿壓迫
■ 切除受侵犯硬膜,包括“腦膜尾征”,爭取simpson1級切除
■ 人工硬膜修補,運用縫合硬膜水密修補

顱骨處理
■ 修整骨窗邊緣,額竇開放使用骨蠟+骨膜封閉(骨膜受累時取腹部脂肪填塞)

■ PEEK材料放置妥帖,懸吊硬腦膜,顳肌吊至PEEK材料上,留置皮下引流管
■ 皮內縫合頭皮,拉鏈式縫合貼固定
■ 術后即刻復查頭顱CT,出院前復查頭顱MRI平掃+增強+MRV
術中所見
腦膜瘤形態
①腫瘤已破壞硬膜
②腫瘤周圍腦膜尾征
③腫瘤
腦膜瘤完整切除
①腫瘤已累及大腦鐮
②切開大腦鐮檢查對側,避免漏切
③腫瘤全切,蛛網膜完整
顱骨全層受累病變
①顱骨內板增生
②顱骨外板受累
③顱骨全層增厚
PEEK修補后美容縫合
①去除病變硬膜,人工硬膜水密縫合
②PEEK材料修補顱骨
③美容縫合+免縫合
術后結果
術后所見
拆線后預后良好
①皮內縫合
②美容縫合+免拆線

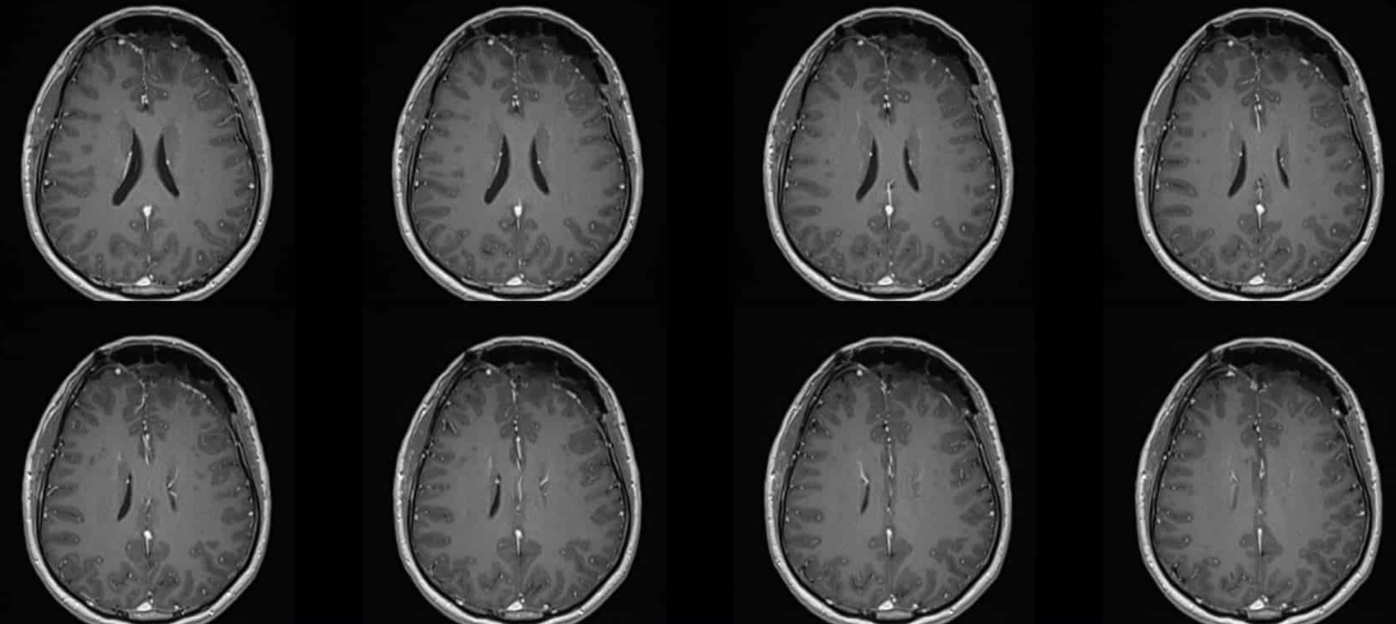
術后頭顱CT:腫瘤全切

術后頭顱MR:腫瘤全切
術后護理要點
① 腦出血、腦梗死:術后觀察生命體征、意識、瞳孔及肢體變化
② 腦脊液漏及顱內感染:切口敷料情況、體溫、腦膜刺激征(額竇開放,術后升級抗生素:萬古+頭曲)
③ 觀察有無癲癇發作:繼續抗癲癇治療
④ 觀察傷口愈合情況及皮下積液情況,必要時復查顱腦CT
⑤ 術后早期下床活動:避免下肢深靜脈血栓、墜積性肺炎
黃采強
廈門弘愛醫院
主治醫師
畢業于福建醫科大學臨床醫學七年制,在知名神經外科專家康德智教授指導下獲得神經外科學碩士學位。在著名神經外科大師鮑遇海教授領導下從事神經外科工作,赴北京宣武醫院神經研究所內鏡中心師從著名內鏡專家陳革主任, Samii解剖班、Yasargil顯微訓練班進修。
擅長:內鏡下垂體瘤、鞍區腫瘤微創治療,顯微鏡下腦膜瘤、膠質瘤、聽神經瘤等顱內腫瘤的微創治療,高血壓腦出血、顱腦外傷等神經外科常見疾病的診治。
