
神經外科是一個發展迅速、不斷創新的學科。
為了更好地促進神經外科交流合作,推動新治療方法和技術的研發應用,邁普醫學特別籌辦“神醫妙術—修復關顱解決方案病例征集項目”,以“腦脊液漏規范化管理”和“PEEK顱骨修復規范化管理”為主題征集相關手術病例,為臨床研究和醫學教育提供寶貴資料,助力學科發展。
病例簡介
患者病史
F,55歲。
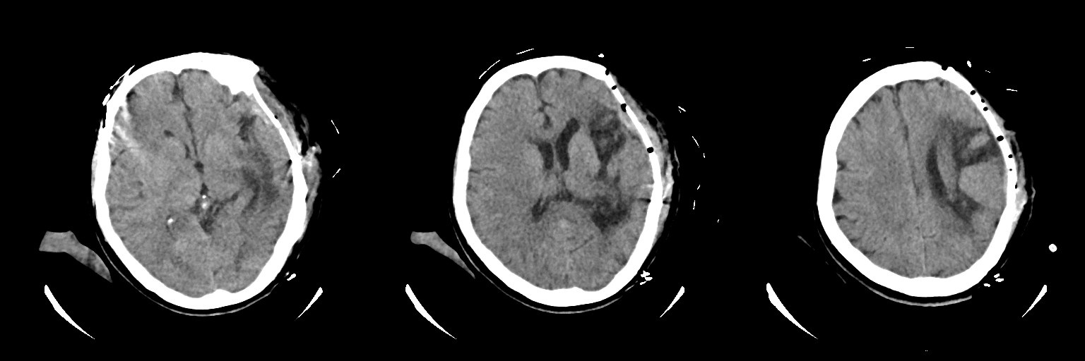
2024年3月1日患者晨起后突發頭暈,繼而意識不清,急被送至當地醫院就診,行頭顱CT檢查,結果顯示:“左側基底節區腦出血”。急診手術治療,行開顱血腫清除、去骨瓣減壓術,術后患者逐漸清醒,遺留失語,右側肢體偏癱。后續行肢體功能鍛煉、針灸、高壓氧等康復治療。
為進一步診治并行顱骨缺損修補,患者于2024年5月14日以“顱骨缺損、腦出血術后恢復期、高血壓”入院聯勤保障部隊第九八〇醫院神經外科。患者既往2003年診斷為“煙霧病”,未行特殊治療。2017年因右側大腦中動脈瘤于外院行介入治療。
??撇轶w
患者mRS評分4分,GCS評分13分(E/V/M=4/3/6)。神志清楚,失語,左側額顳頂部可見長約27cm問號形切口瘢痕,顱骨缺損范圍約10×12cm,骨窗張力不高,可見腦搏動。雙側瞳孔等大等圓,直徑2.5mm,對光反射靈敏。
右側肱二、三頭肌反射、橈骨膜反射活躍,左側肱二、三頭肌反射、橈骨膜反射正常。雙側跟腱反射、膝腱反射正常。左側肢體肌力、肌張力正常,右側上肢肌力0級,下肢1級。深淺感覺無異常。病理反射未引出。
診療方案
①繼續針灸、肢體功能鍛煉及高壓氧康復治療。待開顱術后3個月擇期行顱骨缺損修補術。
②術前設計PEEK材料假體弧度參考骨對稱設計,假體整體約0.5mm~0.6mm間隙設計,假體厚度約2.0mm-5.0mm,假體表面孔徑3/4mm穿插,假體共設計6個PEEK連接片凹槽用于固定。
③于2024年6月7日在全麻下實施顱骨缺損PEEK修補術。

術后結果
常規應用抗菌素預防感染(48h),并于術后48h拔除皮下引流管。
術后8天拆除頭部切口縫線,切口愈合良好,無皮下積液。

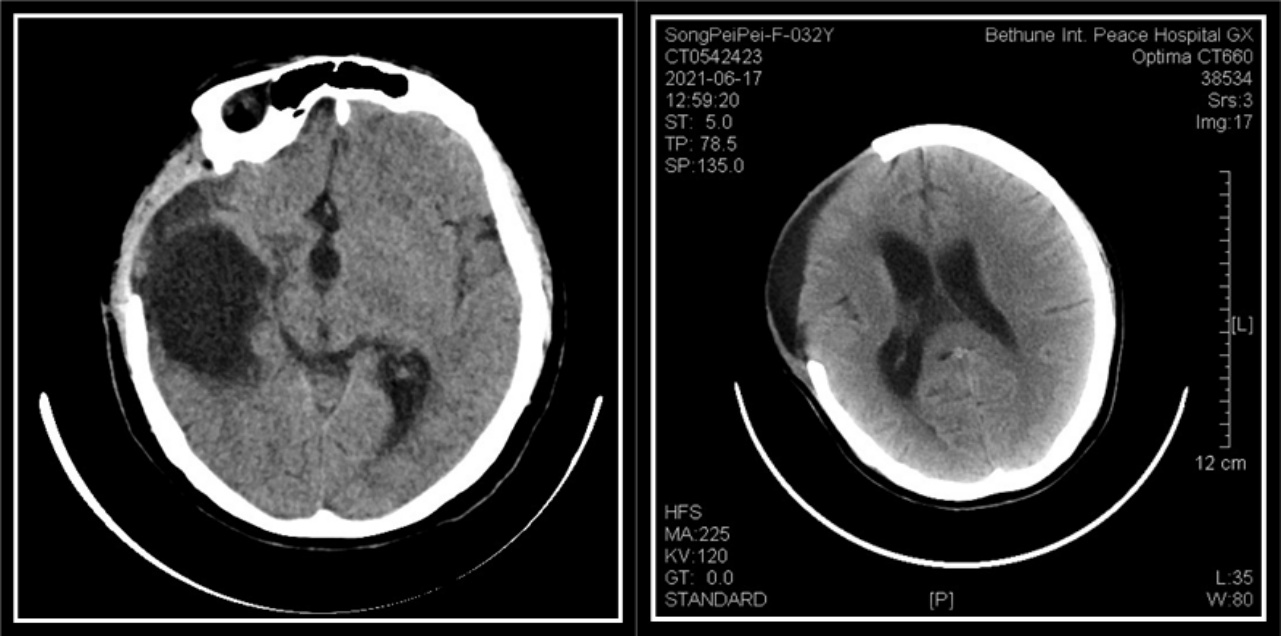
術后1天復查頭顱CT
術后1天復查頭顱CT
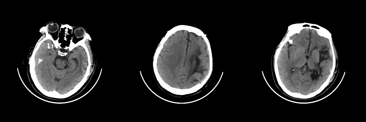
術后1月
病例小結
一、正確選擇適應癥
①顱骨修補(成形)常在各種因腦卒中、創傷性腦損傷、顱內腫瘤、顱內感染或其他病因而進行去骨瓣減壓術后進行。
②當患者出現長期的大面積顱骨缺損時,不僅會導致外觀的不對稱,還會引發神經功能障礙和腦實質血流灌注降低等并發癥。
③進行后期的顱骨重建不僅可以改善患者的外觀,避免大氣壓力對腦組織造成損害,還可以有效緩解顱骨缺損綜合癥狀。
④手術時機——去骨瓣減壓術后3個月為宜。
二、PEEK作為顱骨修補材料的優勢
①PEEK材料無磁性,術后復查時不會在 CT 或 MRI 圖像上產生偽影,可以更加清晰地顯示腦內部組織的情況變化,更好地判斷患者疾病的發生,有利于患者術后的監測,這在神經外科患者中是至關重要的,尤其是年輕患者。
②PEEK植入體密度較低,更加接近人體骨骼的密度,減少了因材料原因而產生排斥反應,尤其是當植入體體積較大時可以為患者提供更好的舒適度。
③與其他金屬植入物相比,PEEK植入體對外界的熱量變化反應較小,不會對大腦產生不良影響。
④PEEK材料采用嵌入式修補方式,在術后影像學上可見PEEK板完全嵌入骨窗里面,與缺損區完全吻合,不會像鈦網板材料貼敷于腦組織表面,減少了材料對組織的剪切力,更加有利于腦組織的恢復,明顯減少切口愈合不良和植入物外露等不良事件的發生。
三、術前PEEK材料的設計
①薄層頭顱CT數據.dcm格式上傳。
②連接片的位置及選擇——可選擇PEEK連接片或鈦連接片,PEEK板是否設置凹槽、高搭片。
③近顳底處PEEK材料的設計——解剖到位、骨窗緣充分暴露,一般顳部無需留空。

④假體厚度約2-5mm,假體間隙設計約0.5mm,假體孔徑為3mm、4mm穿插。
四、皮瓣剝離及顳肌的處理
①術區皮瓣下均勻、充分注射利多卡因鹽水(200ml生理鹽水+2%鹽酸利多卡因注射液15ml+0.3mg腎上腺素注射液)。
②原手術切口和其下顱骨缺損有位差如何處理?
先從能捫及骨質處切開,暴露骨緣后,沿骨緣逐步拓展分離,避免切口過深造成硬膜破損、腦脊液漏。
③皮膚切開后,皮瓣剝離從哪里開始?
如果是額顳頂顱骨缺損,先從顳部開始剝離較好,因為其下有顳肌,顳肌及皮下組織之間的間隙容易辨認和剝離。
④顳肌需不需要剝離?
顳肌剝離,才能達到恢復解剖的基礎,確保PEEK良好就位。解剖層次可先分離皮瓣,再剝離顳肌瓣。直接制作皮肌瓣難以掌握深度,容易造成硬膜破損。
⑤術中分離皮瓣、尤其是顳肌與硬膜時,應注意仔細分離,避免硬膜破損,如有腦脊液漏或腦組織外露(甚至硬膜菲?。┚鶓獓烂苄扪a,必要時應用人工硬膜縫合修補。
五、腦膨隆的原因及處理
①如有腦積水,可先行分流術。
②術前行腰大池外引流,術中自引流管釋放腦脊液。
③術中快速靜滴甘露醇、機控呼吸過度換氣。
④如有硬膜下積液,術中切開硬膜釋放積液即可。如腦內壞死灶形成囊腔,術中可腦表面穿刺直接釋放腦脊液。如無上述兩種情況,但仍有腦膨隆,可行腦室穿刺釋放腦脊液。

六、PEEK就位及硬膜懸吊、連接片固定
①相對于鈦網板,PEEK材料對于骨窗緣的暴露要求更高(嵌入式)。
②PEEK就位前先硬膜幾個點位縫合針穿線,將絲線從孔隙內穿出,留作懸吊硬膜。另從PEEK 孔隙內直接穿線,留做穿針縫合顳肌固定。
③在PEEK上將連接片一端固定于凹槽,就位后再將連接片另一端固定在顱骨上。然后懸吊硬膜。

七、顳肌、皮瓣復位
①PEEK就位固定后,雙氧水充分沖洗,使用生理鹽水加壓沖洗術區,尤其PEEK孔隙內反復沖洗。
②顳肌復位,顳肌斷端縫合,將顳肌游離端用PEEK 孔隙內穿出的線縫扎固定。

③皮下留置引流管,自切口旁皮下隧道引出。皮瓣復位,可吸收線連續縫合皮下組織,絲線縫合皮膚。
齊洪武
聯勤保障部隊第九八〇醫院(白求恩國際和平醫院) 神經外科主任
副主任醫師
從事臨床工作26年,具有扎實的外科基礎和神經外科手術技巧。對重型顱腦損傷的救治、遷延性昏迷的促清醒治療、腦血管疾病的診療及并發癥的防治具有豐富的臨床經驗,熟練掌握各類顱腦腫瘤、脊髓腫瘤、顱神經疾病的顯微手術技術。
第一作者發表學術論文60余篇,其中SCI期刊收錄2篇。參編專著12部。實用新型專利4項。主持及參研省部級及市級課題多項。獲軍隊醫療成果三等獎1項,河北省科技進步三等獎1項。
河北省醫學會神經外科分會委員、中國醫師協會神經修復學專業委員會腦積水與顱內壓監測學組委員、河北省醫學會醫療事故技術鑒定專家庫成員等學術任職。
